어금니 지르코니아 크라운 가격
치과 치료 중에서 많은 사람들이 고민하는 항목 중 하나가 바로 어금니 보철 치료입니다. 특히 충치가 깊거나 신경치료 이후 치아를 보호하기 위해 크라운 치료를 하는 경우가 많습니다. 과거에는 금 크라운이나 PFM(도재금속) 크라운이 일반적이었지만, 최근에는 강도와 심미성을 동시에 만족시키는 지르코니아 크라운이 널리 사용되고 있습니다. 지르코니아는 강도가 매우 높은 세라믹 재료로, 자연치와 비슷한 색상을 구현할 수 있어 어금니뿐 아니라 앞니 보철에도 활용되는 재료입니다. 특히 어금니는 씹는 힘이 강하게 작용하는 부위이기 때문에 재료의 강도와 내구성이 매우 중요한데, 이러한 조건을 충족하는 보철재료가 바로 지르코니아입니다.

지르코니아 크라운 가격은 병원, 제작 방식, 장비, 지역 등에 따라 차이가 발생합니다. 또한 크라운 제작 방식이 CAD/CAM 장비를 이용한 디지털 방식인지, 기공소 제작인지에 따라서도 비용이 달라질 수 있습니다. 치료를 계획할 때는 단순한 가격 비교보다 재료 특성, 수명, 장단점을 함께 고려하는 것이 중요합니다.
지르코니아 크라운이란 무엇인가
지르코니아 크라운은 산화지르코늄(Zirconium dioxide) 소재로 제작된 치아 보철물입니다. 지르코니아는 원래 항공우주 산업이나 의료 임플란트 분야에서도 사용되는 강도 높은 세라믹 재료로, 금속보다 강하면서도 치아와 유사한 색을 낼 수 있는 특징을 가지고 있습니다. 이러한 특성 덕분에 치과 보철 재료로 널리 사용되고 있습니다.

지르코니아 크라운의 기본 특징은 다음과 같습니다.
- 매우 높은 압축 강도와 내구성
- 자연치와 유사한 색상 구현 가능
- 금속 알레르기 위험 없음
- 잇몸 변색 가능성이 낮음
- 마모 저항성이 높음
어금니는 하루에도 수천 번 씹는 힘이 전달되는 부위이기 때문에 보철물의 강도가 매우 중요합니다. 금속 크라운도 강도가 높지만 심미성이 떨어지는 단점이 있습니다. 반면 지르코니아 크라운은 강도와 심미성을 동시에 만족시키는 재료이기 때문에 최근 치과에서 가장 많이 선택되는 크라운 재료 중 하나입니다.
어금니 지르코니아 크라운 가격
지르코니아 크라운 가격은 건강보험 적용 여부와 병원별 정책에 따라 달라집니다. 일반적으로 성인의 어금니 크라운 치료는 비급여 항목이기 때문에 병원마다 비용 차이가 있습니다. 평균적인 가격 범위를 이해하면 치료 계획을 세울 때 도움이 됩니다.

어금니 지르코니아 크라운 가격 범위는 다음과 같습니다.
- 일반 치과 평균 가격: 약 40만원 ~ 60만원
- 중형 치과 및 전문 치과: 약 50만원 ~ 70만원
- 대학병원 및 대형병원: 약 70만원 ~ 100만원
- 고급 지르코니아 또는 프리미엄 제작: 약 80만원 ~ 120만원
가격 차이가 발생하는 이유는 여러 가지가 있습니다. 먼저 사용되는 지르코니아 블록의 품질이 다를 수 있으며, 기공소 제작 기술 수준에 따라 비용이 달라질 수 있습니다. 또한 디지털 장비를 이용한 CAD/CAM 제작 방식은 정밀도가 높은 대신 비용이 더 높게 책정되는 경우가 많습니다.

지르코니아 크라운 가격이 달라지는 이유
같은 지르코니아 크라운이라도 치과마다 가격 차이가 발생하는 이유는 치료 과정과 재료의 차이 때문입니다. 단순히 재료 가격만이 아니라 진료 환경과 기술력이 포함된 비용이라고 볼 수 있습니다.
가격에 영향을 미치는 주요 요소는 다음과 같습니다.
- 사용되는 지르코니아 재료 등급
- 치과 기공소 제작 비용
- 디지털 장비(CAD/CAM) 사용 여부
- 병원 위치 및 규모
- 치과 의사의 경험과 기술
특히 지르코니아는 종류에 따라 강도와 투명도가 다릅니다. 강도가 높은 대신 색이 덜 자연스러운 지르코니아도 있고, 심미성이 뛰어난 대신 강도가 조금 낮은 재료도 있습니다. 이러한 재료 선택에 따라 가격이 달라질 수 있습니다.

지르코니아 크라운 장점
지르코니아 크라운이 어금니 보철 치료에서 많이 선택되는 이유는 여러 가지 장점 때문입니다. 특히 씹는 힘이 강한 부위에서도 안정적으로 사용할 수 있다는 점이 큰 장점입니다.
지르코니아 크라운의 대표적인 장점은 다음과 같습니다.
- 매우 높은 강도와 내구성
- 깨질 위험이 비교적 낮음
- 자연치와 유사한 색상
- 금속 알레르기 걱정 없음
- 잇몸 변색 가능성 낮음
- 오래 사용할 수 있는 보철물
지르코니아는 세라믹 재료지만 일반 도재보다 훨씬 강합니다. 이 때문에 어금니처럼 강한 힘이 작용하는 부위에서도 안정적으로 사용할 수 있습니다.

지르코니아 크라운 단점
모든 보철 치료에는 장점과 단점이 존재합니다. 지르코니아 크라운 역시 몇 가지 단점이 있기 때문에 치료 전에 충분히 이해하는 것이 좋습니다.
지르코니아 크라운 단점은 다음과 같습니다.
- 가격이 비교적 높은 편
- 자연치보다 단단해 맞물리는 치아 마모 가능
- 수정이 어렵고 재제작이 필요한 경우 있음
- 치아 삭제량이 어느 정도 필요
지르코니아는 매우 단단한 재료이기 때문에 반대편 치아와 맞물리는 경우 마모가 발생할 가능성이 있습니다. 하지만 최근에는 마모를 줄이기 위한 기술이 많이 발전하여 이러한 문제는 점점 줄어드는 추세입니다.

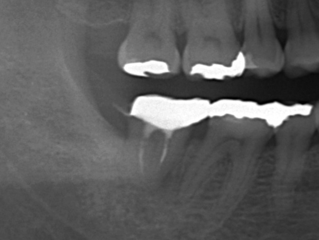
어금니 크라운 치료 과정
지르코니아 크라운 치료는 일반적으로 여러 단계의 과정을 거쳐 진행됩니다. 치료 과정은 비교적 표준화되어 있으며 대부분의 치과에서 비슷한 방식으로 진행됩니다.
어금니 크라운 치료 과정은 다음과 같습니다.
- 충치 제거 및 신경치료 여부 확인
- 치아 삭제 및 크라운 공간 확보
- 치아 본뜨기 또는 디지털 스캔
- 임시 크라운 장착
- 기공소에서 지르코니아 크라운 제작
- 완성된 크라운 장착 및 교합 조정
최근에는 디지털 스캔 장비를 사용해 치아 본을 뜨는 과정이 더 정밀해졌습니다. 이러한 기술 덕분에 크라운의 정확도와 적합도가 크게 향상되었습니다.

지르코니아 크라운 수명
지르코니아 크라운의 수명은 개인의 구강 상태와 관리 습관에 따라 달라집니다. 평균적으로 10년 이상 사용할 수 있는 보철물로 알려져 있습니다.
수명에 영향을 주는 요소는 다음과 같습니다.
- 구강 위생 상태
- 치아 교합 상태
- 이갈이 습관 여부
- 정기적인 치과 검진 여부
정기적으로 스케일링을 받고 치실이나 치간칫솔을 사용하는 경우 크라운 수명을 더욱 오래 유지할 수 있습니다.
지르코니아 크라운 관리 방법
크라운 치료 이후에는 자연치와 마찬가지로 꾸준한 관리가 필요합니다. 관리가 잘 이루어지지 않으면 크라운 자체는 멀쩡하더라도 주변 치아나 잇몸에 문제가 발생할 수 있습니다.
관리 방법은 다음과 같습니다.
- 하루 2회 이상 올바른 칫솔질
- 치실 사용으로 치아 사이 관리
- 딱딱한 음식 과도한 섭취 피하기
- 정기적인 치과 검진
- 이갈이 습관이 있는 경우 마우스피스 사용
이러한 관리 습관을 유지하면 지르코니아 크라운의 사용 기간을 더욱 길게 유지할 수 있습니다.
지르콘과 어금니 지르코니아 크라운 가격 정리
지르코니아 크라운은 현재 치과 보철 치료에서 가장 많이 선택되는 재료 중 하나입니다. 강도와 심미성을 동시에 갖춘 재료이기 때문에 특히 어금니 치료에 매우 적합합니다. 평균 가격은 약 40만원에서 70만원 정도이며, 병원 규모나 재료 종류에 따라 100만원 이상까지도 형성될 수 있습니다. 치료를 계획할 때는 단순히 비용만 고려하기보다 재료 특성, 수명, 치과의 기술력 등을 함께 판단하는 것이 중요합니다. 지르코니아 크라운은 적절한 관리와 정기적인 치과 검진을 병행하면 오랜 기간 안정적으로 사용할 수 있는 보철 치료 방법입니다.
'건강 정보' 카테고리의 다른 글
| 봉와직염 증상 원인 모기, 무좀, 모낭염 치료기간 (0) | 2026.03.11 |
|---|---|
| 다리에 쥐가날때 응급 처치 (0) | 2026.03.07 |
| 보건소 골다공증 검사비용, 골밀도 검사종류 (0) | 2026.03.05 |
| 작두콩차 효능과 부작용 (0) | 2026.02.28 |
| 인삼다당체 효능 | 가격 (0) | 2026.02.26 |